All-on-6 Implante Dentare

All-on-6

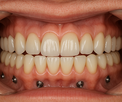
Çfarë është All-on-6?

All-on-6 është një teknikë moderne implantologjie që përdor 6 implante dentare për të mbështetur një protezë fikse të plotë në një nga nofullat (sipërme ose poshtme). Kjo metodë është ideale për pacientët që kanë humbur të gjithë dhëmbët ose që kanë dhëmbë të dëmtuar që nuk mund të ruhen më.

Pse të zgjidhni All-on-6?

Rikthen funksionin përtypës dhe të folurit
Jep një buzëqeshje të natyrshme dhe estetike
Është një zgjidhje fikse, rezistente dhe komode
Më pak implante – më pak ndërhyrje kirurgjikale
Më pak kohë pritjeje – buzëqeshje e re brenda ditës

Procesi i trajtimit
All-on-6-1
All-on-6-2

Për Kë rekomandohet?
  • Pacientë që kanë humbur shumicën ose të gjithë dhëmbët në një nofull

  • Persona që përdorin proteza të lëvizshme dhe kërkojnë një zgjidhje të përhershme

  • Të rritur mbi 18 vjeç me strukturë të mjaftueshme kockore (ose me mundësi për graftim kockor)

Përfitimet kryesore

Rezultat afatgjatë dhe komoditet maksimal
Parandalon dëmtimin e mëtejshëm të kockës
Buzëqeshje e sigurt dhe e pandryshueshme
Nuk ka nevojë për përdorim të ngjitësve si te protezat klasike
Përshtatje perfekte me estetikën e fytyrës suaj

Pse të zgjidhni klinikën tonë?

Teknologji 3D & implantologji moderne
Laborator protetik i specializuar për punime fikse të plota
Ekip i trajnuar për rastet e avancuara kirurgjikale
Trajtim i personalizuar dhe ndjekje pas operacionit
Mundësi pagesash të përshtatura

Filloni sot me një buzëqeshje të re, fikse dhe të qëndrueshme!

Konsulta e parë është falas dhe përfshin kontrollin dentar, skanimin 3D dhe planin e personalizuar të trajtimit.

Na kontakto sot dhe zbulo nëse implantet dentare janë zgjidhja e duhur për ty!

Pyetjet më të shpeshta

Po. All-on-6 është një zgjidhje fikse dhe afatgjatë që, me kujdes të duhur dhe vizita të rregullta, mund të zgjasë shumë vite, shpesh mbi 15–20. Proteza fikse nuk hiqet dhe nuk lëviz, duke ofruar ndjesinë e dhëmbëve natyralë.

Jo. Procedura kryhet nën anestezi lokale ose, nëse preferohet, edhe me qetësim të lehtë (sedacion). Pas trajtimit, mund të ndjeni pak ënjtje ose ndjeshmëri, por këto kalojnë brenda disa ditësh me kujdesin e duhur.

Shumë pacientë mund të marrin një proteze të përkohshme brenda 24–48 orëve, ndërsa proteza fikse përfundimtare vendoset pas 3–6 muajsh (pasi implanti të integrohet me kockën).

Në shumë raste, po. Nëse struktura kockore është e pamjaftueshme, mund të rekomandojmë graft kockor (shtim kockor) ose teknika alternative për të ndërtuar bazën e duhur për implantet.
Vlerësimi bëhet me grafi 3D gjatë konsultës.

Kostoja varet nga disa faktorë: gjendja fillestare e gojës, nevoja për trajtime shtesë (si graft kockor), dhe lloji i materialit të protezës.
Konsulta është falas, dhe ne ofrojmë paketa të personalizuara dhe mundësi pagesash me këste.